
מרפאה אורתודונטית
ד"ר הדס דורצ'ין-אשכנזי
מומחית ליישור שיניים ולסתות מטעם משרד הבריאות
סוגי טיפול
טיפול בשיניים כלואות
הגישה שלי היא להימנע מעקירות ככל הניתן כי אין כמו שיניים טבעיות.
הטיפול האורתודונטי בשיניים כלואות כולל שיתוף פעולה בין האורתודונט לכירורג, כאשר הכירורג יוצר פתח באיזור השן הכלואה והאורתודונט מתחבר אליה ובזהירות רבה מושך את השן אל קשת השיניים. במקרים בהם יש צורך בחשיפת השן הכלואה והדבקה של מכשיר אורתודונטי עליה, אני אישית מלווה את המטופלים אל הכירורג ונוכחת בפעולת החשיפה.
ישנם מטופלים שיש להם יותר משן כלואה אחת. הטיפול ממושך יותר ותלוי במיקום של השן.
בדרך כלל אני ממליצה להבקיע את השן הכלואה בגיל צעיר כי אז נדיר מאוד שהיא מתחברת אל העצם מה שקורה בגילאים מבוגרים יותר. חיבור אל העצם אינו מאפשר הבקעת השן. סיבה נוספת לצורך בטיפול זה היא שהשן החלבית באיזשהו שלב בחיים השורשים שלה נספגים והיא נושרת ובמקומה לא תהיה שן קבועה. גם אם רוצים לסגור את החלל שנוצר באמצעות שתל, מבנה וכתר- רופא השיניים עלול לבנות שן קטנה (כגודל השן החלבית שהיא קטנה יותר) שתיצור הפרעה אסתטית. במקרה זה ובמקרים שחסרות שיניים קבועות מלידה נעשה טיפול אורתדונטי כדי לייצור מקום מספיק לגודל של שיניים קבועות.
במקרים בהן השן הכלואה אינה מטופלת, היא יכולה להמשיך לנדוד בתוך הלסת ולגרום לספיגת השורשים של השינייים הסמוכות לה.
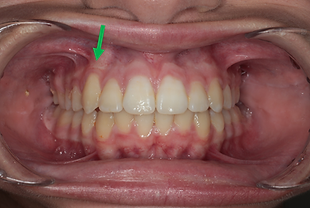
מקרה בו למטופלת יש 2 שיניים כלואות (חותכת מרכזית עליונה וניב עליון):
בסיום הטיפול האורתודונטי שתי השיניים נמצאות בפה
בסיום טיפול
לפני טיפול

השיניים הכלואות בצילום סיטי
מקרה בו למטופל יש טוחנת כלואה:
בסיום הטיפול האורתודונטי השן הכלואה בפה
בסיום טיפול

בטיפול


לפני טיפול


מקרה בו למטופלת יש ניב כלוא באיזור הבוקאלי:
בסיום הטיפול האורתודונטי השן הכלואה בפה
בסיום טיפול


לפני טיפול






